DENTISTE À MOUANS SARTOUX - CABINET DENTAIRE DU DR SOUFFIR GOZLAN CAROLE
Chirurgien-Dentiste à MOUANS SARTOUX
120 AVENUE DE GRASSE entrée A, 06370 MOUANS SARTOUX
+33 4 93 60 89 85
DENTISTE À MOUANS SARTOUX - CABINET DENTAIRE DU DR SOUFFIR GOZLAN CAROLE
Chirurgien-Dentiste à MOUANS SARTOUX

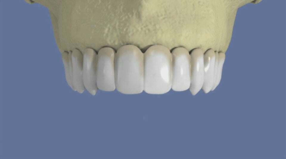
Maxillaire : bridge vissé sans fausse gencive


video-play-icon

Articles similaires

Création par Webdentiste

Connexion